ඇමරිකාවේ පෙන්සිල්වේනියා ප්රාන්තයේ එක්තරා පිරිමි අයෙක් දිනපතා වොඞ්කා පයින්ට් භාගයක් පමණ (වඩි 5 ක් පමණ) බීමට පුරුදුව සිටියේය. 50 හැවිරිදි මේ පුද්ගලයා පසුගිය වසර 15 ක් තිස්සේ නොකඩවා මේ පුරුද්ද කරගෙන ඇවිත් තිබුණි. දිනක් හදිසියේම ලේ වමනය කිරීමට පටන් ගත් නිසා මේ පුද්ගලයාව ඩාබ්හි Mercy Catholic Medical Center නම් රෝහලේ හදිසි රෝග වාට්ටුවට ඇතුළත් කරනු ලැබීය. පසුගිය මාස දෙක තුළ ඔහුට උදරයේ වේදනා පැවති බවත්, පාචනය තිබූ බවත් පුද්ගලයා වෛද්යවරුන්ට කියා සිටියේය. වසර 15 ක් තිස්සේ නොකඩවා දිනපතා වොඞ්කා පානය ගැන ද එහි දී හෙළිවිණ.
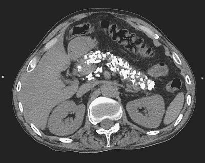
වෛද්යවරු රෝගියාගේ උදරයේ CT ස්කෑන් පරීක්ෂණයක් සිදු කළහ. එහිදී හෙළි වුනේ මේ පුද්ගලයාගේ ඇලදිව හෙවත් අග්න්යාශයේ (pancreas) බහුලව කැල්සියම් තැන්පත්ව ඇති බවයි. අග්න්යාශය කලක් තිස්සේ දැවිල්ල හට ගැනීමේ හේතුවෙන් නිදන්ගත අග්න්යාශ දාහයෙන් (chronic pancreatitis) පෙළෙන බව වෛද්යවරු නිගමනය කළහ. නිදන්ගත අග්න්යාශයෙන් පෙළෙන රෝගින්ගේ සාමාන්යයෙන් මේ ආකාරයට කැල්සියම් තැන්පත්වීම දැකිය හැකි වෙයි. එහෙත් මේ රෝගියාගේ දැකිය හැකි මට්ටමක කැල්සියම් තැන්පත් වීම දුර්ලබ සිද්ධියක් යයි රෝහලේ නේවාසික වෛද්ය දොස්තර යුබ්රාජ් සෙධායි පවසයි.

වසර ගණනාවක් තිස්සේ බෙහෙවින් මධ්යසාරය පානය කිරීම නිදන්ගත අග්න්යාශ දාහයට සුලබ හේතුව බව ජාතික සෞඛ්යායතන(National Institutes of Health) පවසයි. මධ්යසාරය හේතුවෙන් අග්න්යාශයේ සෛල හානියට පත් වීමට ඉඩ තිබේ. එමෙන්ම අග්න්යාශයේ පටක විනාශ කරන එන්සයිම වහනය කිරීමට ද මෙම සෛල උත්තේජනය කරවයි. ප්රදාහයට මග පාදන්නේ මෙය බව සෙධායි පෙන්වා දෙයි. ‘දිගු කාලයක් මධ්යසාරය පානය කිරීම අග්න්යාශයේ නිදන්ගත ප්රදාහයට තුඩු දෙනවා’ ඔහු කියයි. අග්න්යාශයේ චූර්ණීකරණය හෙවත් කැල්සීනීකරණයට හේතු වන්නේ ප්රදාහයට පත් අග්න්යාශ පටකයේ කැල්සියම් තැන්පත් වීමෙන් බව ඔහු පෙන්වා දෙයි. (කැල්සියම්, රුධිර ධාරාව ද ඇතුළත්ව ශරීරය තුළ ස්වභාවිකව පවතී. එහෙත්, හාර්වඞ් වෛද්ය විද්යාලය පෙන්වා දෙන අන්දමට කෙනෙකුගේ රුධිරයෙහි ඇති කැල්සියම් සාමාන්ය මට්ටමක පැවතියත් සිරුරේ පටක හානියක් ඇති තැන්වල කැල්සියම් තැන්පත් වේ).
ආහාර, ජීර්ණයට ආධාර වන එහ්සයිම අග්න්යාශ මගින් නිපදවනු ලබන හෙයින් නිදන්ගත අග්න්යාශ දාහයෙන් පෙළෙන අයට නියමාකාරයෙන් ආහාර දිරවා ගැනීම අපහසු විය හැකි යයි ජාතික සෞඛ්යායතන පෙන්වා දෙයි. එහෙත් ඒ වෙනුවට යොදා ගත හැකි අග්න්යාශීය එන්සයිම, බෙහෙත් වට්ටෝරු ඇතිව හෝ නැතුව ලබා ගත හැකි ඖෂධ ලෙස ඇති අතර (ඒවා ගැනීමෙන්) ආහාර ජීර්ණයට ආධාර වී රෝගීන්ට බර වැඩි කර ගැනීමට හැකි බව ජාතික සෞඛ්යායතන පවසයි.
මෙම ලිපිය ආරම්භයේ සඳහන් කළ පුද්ගලයාට අග්න්යාශ එන්සයිම පරිපූරක ඖෂධ ලබා දුන් අතර මද්යසාර ඇබ්බැහිවූවන් පුනරුත්ථාපනය කිරීමේ වැඩසටහනකට යොමු කෙරුණු බව New England Journal of Medicine නම් සඟරාවෙහි පෙබරවාරි 1 දා පළවූ වාර්තාවක සඳහන් විය. සුරාපානයට ඇබ්බැහිවීම අග්න්යාශ කැල්සීනීකරණයට හේතුවන බවට පර්යේෂකයන් පෙන්වා දෙන්නේ එම වාර්තාව මගිනි. නිදන්ගත අග්න්යාශ දාහයෙන් පෙළෙන රෝගියන් මධ්යසාරය පානය කිරීමෙන් වැළකී සිටි යුතු යයි වෛද්ය විශේෂඥයන් උපදෙස් දෙන්නේ සුරාපානය, පුනර්පතන රෝග ලක්ෂණ (relapse of symptoms) ඇති කිරීමේ අවදානමට ලක්වන හෙයින් යයි ජාතික සෞඛ්යායතනය පෙන්වා දෙයි.
Live Science හි පළවූ Stone Cold Vodka? Drinking Habit ‘Calcifies’ Man’s Pancreas යන ලිපිය ඇසුරෙනි





ප්රතිචාරයක් ලබාදෙන්න